詰め物・被せ物
-
1
- 検査
- レントゲンや検査器具を使用して、歯やあごの状態を詳しく調査します。
-
2
- 治療計画の説明
- 歯やあごの状態に基づいて、治療計画を説明し案内します。患者さんとのコミュニケーションを大切にし、治療内容や予想される結果を十分に理解していただきます。
-
3
- 歯の削り込み
- 詰め物や被せ物の土台となる歯を削ります。この段階では、歯の形や大きさに応じて適切に削ることが重要です。
-
4
- 詰め物や被せ物の装着
- 歯を削った後、詰め物や被せ物を歯に装着します。適切なサイズや形状に調整し、歯に密着させます。
-
5
- メンテナンス
- 詰め物や被せ物を長く持続させるために、定期的な検診や歯のクリーニングが必要です。これにより、歯の健康を維持し、治療の成功をサポーターいたします。
- 保険適用にならない材料は全額自己負担のため高額になります
- 咬み合わせが強い方は欠けたり割れる可能性があります
- 割れない設計にするために詰め物や被せ物の厚みが必要なため、歯を削る量が多いことがあります
詰め物・かぶせ物治療
詰め物治療
むし歯などによって歯が一部欠損した場合、詰め物を用いて歯を修復します。
一般的には、レジンコンポジットと呼ばれる白い歯科用樹脂を使用し、歯の欠損部分を埋めます。
この治療は、歯の損傷が軽度な場合や見た目を重視する場合に適しています。
かぶせ物治療
歯の一部または全体が欠損している場合には、かぶせ物を用いて歯を修復します。
かぶせ物には、クラウンやブリッジなどの種類があります。
クラウンは、歯の上部を覆うキャップ状の人工歯です。
歯の根元部分を残したまま、クラウンを被せることで、歯の形や機能を復元します。
ブリッジは、隣接する歯に支えられる橋のような形状のかぶせ物で、欠損した歯の代わりとして使用されます。
小さな詰め物(コンポジットレジン修復)
材料:歯科用プラスチック
虫歯を取り除いた部分に、歯に近い色の歯科用プラスチックを詰め、固める方法です。
大きな詰め物(インレー・オンレー修復)
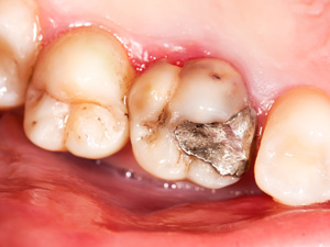
材料:金属(金歯・銀歯)、プラスチック、セラミック
虫歯を取り除いた後の型を取り、それを用いて詰め物を作製し、嵌める治療を行います。
噛み合わせの力や虫歯の大きさを考慮して、レジン修復が適さない場合に使用します。
被せ物・差し歯(クラウン修復)
材料:金属(金歯・銀歯)、プラスチック、セラミック
虫歯により破損した歯を丈夫な被せ物で覆います。歯型を取り、その型から被せ物を製作します。
金属アレルギーについて
金属アレルギーへの対応は、歯科医師の大切な役割です。
歯科治療で使用される金属が口の中で長時間溶け出し、体内に取り込まれることでアレルギー反応が起こり、口内炎や皮膚炎などのトラブルを引き起こす可能性があります。
ビバ・スマイル歯科では、金属アレルギーに対する責任を持ち、全身の健康を考慮した治療を提供するために金属アレルギー外来を設置しています。
金属アレルギーの原因となりやすい金属には、コバルト、スズ、パラジウム、インジウム、ニッケル、クロム、水銀などがあります。特に、歯科治療で頻繁に使用されるパラジウムや銀、水銀を含むアマルガムが、アレルギーの原因として挙げられます。
金銀パラジウム合金は保険治療で一般的に使用され、銀歯の詰め物や被せ物に使用されます。一方、銀合金は神経を取った歯の土台などに使用されますが、錆びやすく、歯ぐきの変色の原因となります。
また、アマルガムは過去に頻繁に使用されていましたが、無機水銀を含むため、アレルギーや不定愁訴を引き起こす可能性が指摘されています。
詰め物の種類
金銀パラジウム合金(保険適用)
特徴: 金、銀、パラジウムなどの金属合金から作られます。
利点: 耐久性が高く、費用が比較的低いため、多くの患者に利用されます。保険が適用されることが一般的です。
CAD/CAMハイブリッド(保険適用)
特徴: CAD/CAM技術を使用して精密に作成されます。
利点: 歯の形状に合わせて精密に作成され、自然な審美性を提供します。保険が適用されることでコスト効率が高いです。
ジルコニア
特徴: 高強度セラミック素材で、耐久性が高く、審美的な外観を持ちます。
利点: 自然な色調と透明感を持ち、金属アレルギーの心配がありません。また、削除が少ないため、歯の健康を保護できます。
e-Max
特徴: モノリシックセラミックで、透明感が高く、審美的な外観が特徴です。
利点: 薄さと強度を兼ね備え、天然歯に近い外観を提供します。審美性を重視する患者に適しています。
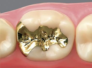
ゴールド
特徴: 純金または金合金から作られた詰め物で、古典的な素材です。
利点: 耐久性が高く、金属アレルギーの心配が少ない。また、削除が少ないため、歯を保護できます。
かぶせ物の種類
金銀パラジウム合金(保険適用)
特徴: 金、銀、パラジウムなどの金属合金から作られ、保険が適用される詰め物の素材です。
利点: 耐久性が高く、費用が比較的低いため、多くの患者に利用されます。金属合金の強度が噛む力に耐えるのに役立ちます。
CAD/CAM冠(保険適用)
特徴: コンピュータ支援設計/製造(CAD/CAM)技術を使用して作られる冠(クラウン)で、保険が適用されることがあります。審美性にも配慮されています。
利点: 歯の形状に合わせて精密に作成され、自然な外観を提供します。保険適用のため、コスト効率が高いです。
レジン前装冠(保険適用)
特徴: レジン(合成樹脂)から作られた前装冠で、保険が適用されることがあります。前歯の修復に適しています。
利点: 審美性が高く、歯の色に自然になじみます。削除が少ないため、健康な歯を保護できます。
フルジルコニア
特徴: 高強度ジルコニアセラミックから作られ、審美性と耐久性を兼ね備えたクラウン素材です。
利点: 耐久性が高く、天然歯に近い外観を提供します。
e-Max
特徴: モノリシックセラミックから作られたクラウン素材で、高い審美性を持ちます。
利点: 透明感があり、美しい外観を提供します。自然な歯に近い色調を持つため、審美性を重視する患者に適しています。
メタルボンド
特徴: 金属合金の基材にセラミックを結合させたクラウン素材で、強度と審美性を組み合わせています。
利点: 高い耐久性と自然な外観を提供します。
詰め物や被せ物治療流れ
治療期間・回数(虫歯の状態によって変わります)
治療期間 |
1~2ヶ月 |
治療回数 |
2回~5回 |
費用 |
〈詰め物〉 |
リスク・副作用 |
|

