大垣市の歯医者、ビバ・スマイル歯科の電話番号ご予約・お問合わせ

0584-92-2040


矯正歯科

    大垣市の歯医者、ビバ・スマイル歯科の矯正歯科

    歯並びが乱れていると、歯磨きが難しくなり、むし歯や歯周病のリスクが高まります。
    また、咬み合わせの問題は、効率的な咀嚼を妨げ、食物の摂取や消化に悪影響を与えることがあります。
    さらに、見た目に自信が持てないことで精神的なストレスを感じることもあります。

    特に、子供の歯並びや咬み合わせの問題は、その成長や健康に悪影響を及ぼす可能性があります。
    このため、当院では予防的な観点から矯正治療の重要性を認識し、患者さんの歯を健康に保つために、美しい歯並びの矯正治療に力を入れています。

    5歳〜8歳の矯正はこちら(予防矯正)

    8歳〜10歳の矯正はこちら(小児矯正)

     

    大人も矯正治療で美しい歯並びを

    矯正治療が必要な不正咬合の種類

    不正咬合とは、上下の歯が適切に咬み合っていない状態を指します。

     

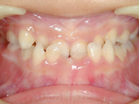
    叢生(乱ぐい歯)不正咬合

    大垣市の歯医者、ビバ・スマイル歯科の矯正歯科

    あごの大きさに対して歯が多すぎるために、歯が重なって生える状態です。
    この状態では、歯並びが不揃いになり、通常はスペースが不足しているため、時には抜歯が必要になります。

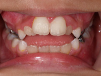
    上顎前突(出っ歯)不正咬合

    大垣市の歯医者、ビバ・スマイル歯科の矯正歯科

    上顎の歯が過剰に前方に突出している状態で、しばしば顎の位置のズレが原因で起こります。

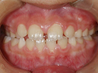
    下顎前突・反対咬合(受け口)不正咬合

    大垣市の歯医者、ビバ・スマイル歯科の矯正歯科

    下顎の歯が上顎の歯より前に位置する咬み合わせで、顎の成長異常が原因の場合があります。

    開咬不正咬合

    大垣市の歯医者、ビバ・スマイル歯科の矯正歯科

    前歯部分が咬み合わず、空間が空いている状態。
    これはしばしば舌の癖や他の習慣が原因で起こります。

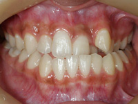
    過蓋咬合(ディープバイト)不正咬合

    大垣市の歯医者、ビバ・スマイル歯科の矯正歯科

    上の前歯が下の歯を過度に覆う咬み合わせで、前歯に過大な圧力がかかり、将来的に歯周病や顎関節症のリスクを増大させる可能性があります。

    交叉咬合(クロスバイト)不正咬合

    大垣市の歯医者、ビバ・スマイル歯科の矯正歯科

    一部の歯が正常な位置にないため、上下の歯が交差して咬み合う状態です。

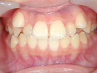
    空隙歯列(すきっ歯)不正咬合

    大垣市の歯医者、ビバ・スマイル歯科の矯正歯科

    前歯に不自然な隙間が存在する状態。
    これは、歯の数が不足しているか、舌の位置異常などの習慣によることが多いです。

     

    その他の不正咬合には、歯の捻転や埋伏歯、先欠歯、異所萌出歯などがあり、これらは個々のケースに応じて特定の治療法が要求されます。

    上記のような歯並びにお悩みの方は、ビバ・スマイル歯科へ。
    専門家による適切な治療で、美しい歯並びを手に入れましょう。

     

PAGE TOP