「医院ブログ」の記事一覧
-
-
2015/10/23
9月のミーティング
こんにちは、歯科衛生士の井上です。 9月の末に、院内ミーティングを行いました。 ...
-
-
2015/10/21
8020おめでとうございます!!
こんにちは、歯科衛生士の枝次です。 先日、担当させて頂いている、日比野芳治様が8 ...
-
-
2015/10/20
新しい玄関
こんにちは、受付の児玉です。 だんだん寒くなり、冬が近づいてきましたね。 当院は ...
-
-
2015/10/14
8020おめでとうございます!!
こんにちは、歯科衛生士の玉谷です。 先日、私の担当のSさんの8020の表彰式を当 ...
-
-
2015/10/10
歯がツルツルになるわけは??
こんにちは、歯科衛生士の藤塚です。 みなさん、歯医者に来院し、クリーニングをした ...
-
-
2015/10/06
月に1度のミーティング
こんにちは、歯科衛生士の井上です。 毎月の月末に私たちスタッフ全員で月に1度、ミ ...
-
-
2015/10/05
ルシェロとっても良いですよ!
みなさんこんにちは、受付の児玉です。 朝晩寒くなってきましたね。体調管理には気を ...
-
-
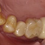
2015/09/29
銀歯から白い歯へ
こんにちは、歯科衛生士の井上です。 先日、来院された患者さまで、 「奥歯の銀色 ...
-
-
2015/09/28
スマイル賞が決定しました!!
こんにちは、歯科衛生士の玉谷です。 今年もカムカムクラブのイベント「夏休みぬり絵 ...
-
-
2015/09/26
寝る前の歯みがき
こんにちは、歯科衛生士の枝次です。 先日、担当している70代のNさんに 「最近は ...

