おいしく食事ができています
2024/05/12
こんにちは、大垣市の歯医者ビバ・スマイル歯科の歯科衛生士の枝次です。
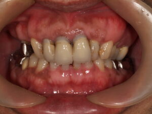
今回は私が担当している60代男性の方のお話しをします。
若い頃に事故にあわれ、歯も数本抜くことになったり、噛み合わせも変わったり、
とても不便な思いをされたそうです。また歯科医院も10数件探し、
やっと当院に出会い、噛み合わせも良くなったとの事です。
私が担当を始めた頃は、噛み合わせは安定していましたが、
上の前歯の歯茎が腫れる事を繰り返していました。

きちんと処置をしてメインテナンスも月に1回来院していただいており、
今では気にせずに何でも食べられるとの事です。

歯が痛い、噛み合わせが悪いと食事もおいしくないと思います。
みなさん気になる事がありましたら、早めに来院して相談してくださいね。
お口のお悩みお気軽にご相談ください。
笑顔あふれる歯科医院
大垣市の歯医者 ビバ・スマイル歯科
医療法人社団東山会 ビバ・スマイル歯科:https://viva-smile.jp/
〒503-0997 岐阜県大垣市長松町1119
電話:0584-92-2040
交通アクセス
お車でお越しの方:「垂井」駅から10分、「大垣」駅から10分。広い駐車場を備えております。

