ミラクルデンチャーにしてよかった
2024/05/12
こんにちは、大垣市の歯医者 ビバ・スマイル歯科の歯科衛生士の伊藤です。
先日、ミラクルデンチャーを入れられた方からお喜びのお声をいただきました。
その方は、以前は保険の入れ歯を使用していましたが、何度か割れたり、
適合が悪くなっていたため、作り直すことにしました。
そこでミラクルデンチャーをお勧めし、先月装着しました。

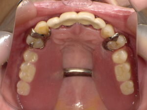
保険義歯

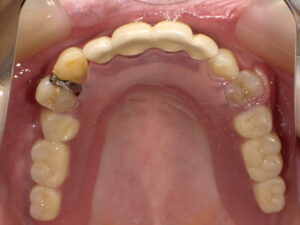
ミラクルデンチャー
「最初は少し痛いところや、慣れるまで違和感があったけれど、
今は全く痛みもなく、すごく調子が良いです。インプラントも考えていましたが、
ミラクルデンチャーの方にしてよかったです。」と喜んでみえました。
何度か調整は必要ですが、慣れて調子が良くなれば、
みなさん何でも食べることができるとおっしゃっていただけます。
入れ歯でお困りのことがあれば、スタッフまでお尋ねください。
お口のお悩み、お気軽にご相談ください。
笑顔あふれる歯科医院
大垣市の歯医者 ビバ・スマイル歯科
医療法人社団東山会 ビバ・スマイル歯科:https://viva-smile.jp/
〒503-0997 岐阜県大垣市長松町1119
電話:0584-92-2040
交通アクセス
お車でお越しの方:「垂井」駅から10分、「大垣」駅から10分。広い駐車場を備えております。

