大垣市の歯医者、ビバ・スマイル歯科の電話番号ご予約・お問合わせ

0584-92-2040


白い歯

      2024/05/12

こんにちは、大垣市の歯医者 ビバ・スマイル歯科の歯科衛生士の藤塚です。

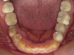
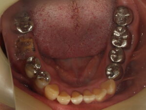
この2つの写真を見比べて、どちらのお口の中の印象が良く見えますか?(比較写真2枚)

術前

術後

見比べてみると、白い歯の方がきれいに見えますよね。

この患者さまはお口を開けた時に銀歯が目立つということで、順番に白い被せ物に変えていきました。

治療が終わると「お口の中が明るくなったし、銀歯をきにしなくていいので自信を持って話せます。

また上の歯もやっていきたいなぁ」とおっしゃってみえました。

お口の中が金属フリーのなると、見た目の印象が明るくなるのはもちろん、

金属アレルギーの問題もクリアできると思います。

気になることがあればお気軽にスタッフまでお声掛けください。

 

お口のお悩み、お気軽にご相談ください。

笑顔あふれる歯科医院 ビバ・スマイル歯科

 



医療法人社団東山会 ビバ・スマイル歯科:https://viva-smile.jp/

〒503-0997 岐阜県大垣市長松町1119
電話:0584-92-2040

交通アクセス
お車でお越しの方:「垂井」駅から10分、「大垣」駅から10分。広い駐車場を備えております。

PAGE TOP