歯の着色が気になりませんか?
2024/05/12
こんにちは、大垣市の歯医者ビバ・スマイル歯科の歯科衛生士の鈴木です。
みなさん、自分の歯の色を気になったことはありますか?
毎日頑張って歯磨きをしているのに、着色していて困っている方はいませんか?
そんな着色には原因があり、食べ物・コーヒーやお茶などの嗜好飲料が原因の外来生の着色。
12歳までの歯を作る時期に抗生物質の入っていたお薬を服用することで起こる、内因性の着色。
また、加齢や外傷などでも歯の色は変色します。
外来性の着色は研磨効果の高い歯磨き粉を使用することで改善することができますが、
外因性で重症なものや、内因性着色には、「ホワイトニング」があり、
当院でもお手頃な価格で簡単に歯を白くすることができます。
また、PMTCといって歯科医師・衛生士が歯磨きでは落としきれない汚れを専用の機械を使って
磨いて除去するものもあります。

歯の表面がツルツルになり、歯垢などがつきにくくなります。
そのほかにもセラミックやジルコニアという被せ物で白い歯にする処置もあります。
この機会に来院して、ご自身の歯の色の原因が何なのか診てもらうことをおすすめします。
続いての内容はフッ素で虫歯予防いついてです。
こんにちは、大垣市の歯医者ビバ・スマイル歯科の歯科衛生士の安村です。
今回はフッ素予防についてお話をします。

最近、中学生や高校生で前から数えて6番目と7番目の大臼歯と呼ばれる歯に虫歯ができ、
進行している子が何人かいました。
大臼歯は噛む面の溝が複雑なので、溝から虫歯ができて穴が開いてしまうことがあります。
奥歯なので磨きにくいですが、一本ずつ丁寧に磨くことはもちろん、
中学生・高校生・大人の方もフッ素の使用をおすすめします。
虫歯をつくらないためにも、しっかり予防をしていきましょう。
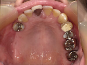
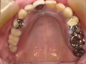
続いては噛めるようになり、ゴルフで優勝しましたというお喜びのお言葉をいただきました。
こんにちは、大垣市の歯医者ビバ・スマイル歯科の歯科衛生士の河合です。
先日ここに来るようになってから、ゴルフで優勝をするようになったという
患者さんのお話しをしたいと思います。
この方は右下がグラグラしているので、噛めるようになりたいという主訴で来院されました。
お口の中の検査・診断をすると残念ながら右下は抜歯という治療方針になりましたが、
歯を抜いた後は、ミラクルデンチャーを入れられました。
術前

術後

何度か入れ歯を入れた後は調整をしましたが、今では何でも噛めて、
歯に力を入れられようになったと、とても喜んでみえました。
「歯は食べるだけはないだね、これからはこれ以上歯をなくさないように頑張ります。」
というお言葉を頂きました。
私もお口のサポートをさせていただき、健康に生活できる方が増えるいいなと思いました。
現在、噛むことができないなど、お困りのことがありましたら、お気軽にご相談ください。
続いては当院でクリスマス会を行った内容についてです。
こんにちは、大垣市の歯医者ビバ・スマイル歯科の歯科衛生士の枝次です。
先日、カムカムクラブのイベントでクリスマス会を行いました。
たくさんのお子さんに参加して頂きありがとうございました。
スタッフもみなさんに楽しんでもらえるように、ハンドベルや紙芝居の練習を頑張りましたが、
上手く出来ていましたでしょうか?
また感想聞かせてくださいね。
歯や食事に関するクイズにも一生懸命考えてくれてありがとうございます。

覚えているかな?
背筋を伸ばして良い姿勢で、よく噛んで食事をしましょうね。
また来年もみなさんに楽しんでもらえるように、企画したいと思います。
みなさんもそれまでまた、虫歯予防を頑張ってくださいね。
お口のお悩み、お気軽にご相談ください。
笑顔があふれる歯科医院
大垣市の歯医者 ビバ・スマイル歯科
医療法人社団東山会 ビバ・スマイル歯科:https://viva-smile.jp/
〒503-0997 岐阜県大垣市長松町1119
電話:0584-92-2040
交通アクセス
お車でお越しの方:「垂井」駅から10分、「大垣」駅から10分。広い駐車場を備えております。

