知覚過敏について
2024/05/12
こんにちは、大垣市の歯医者 ビバ・スマイル歯科の歯科衛生士の伊藤です。
先日「歯が欠けているところがあるのでみてほしい」
という主訴で来院された患者さんがみえました。
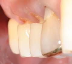
口腔内を見てみると、歯と歯ぐきの境目の所で
歯がえぐれたようになっているところがありました。

これを「くさび状欠損」といい、原因として
1つは歯ブラシで強く磨きすぎてしまい、歯が摩耗してしまっている。
もう1つは歯ぎしりや食いしばりが原因でとしてあげられます。
むし歯ではないので放置されがちですが、
放っておくと削れた部分から歯の神経が過敏に反応し、
しみるといった知覚過敏の症状が出たりします。
欠損が少ない場合はしみ止めの薬を塗布し、
経過をみることもありますが、場合によっては白い樹脂の詰め物をして、
歯の神経への影響を避ける処置をすることもあります。
悪化すると、神経を抜く処置を行う場合もあります。
この機会に一度鏡でお口の中を観察してみてください。
定期的な歯科医院の受診もおすすめします。
医療法人社団東山会 ビバ・スマイル歯科:https://viva-smile.jp/
〒503-0997 岐阜県大垣市長松町1119
電話:0584-92-2040
交通アクセス
お車でお越しの方:「垂井」駅から10分、「大垣」駅から10分。広い駐車場を備えております。

