カラーテストを親子で行いました。
2024/05/12
こんにちは、大垣市の歯医者 ビバ・スマイル歯科の歯科衛生士の寺澤です。
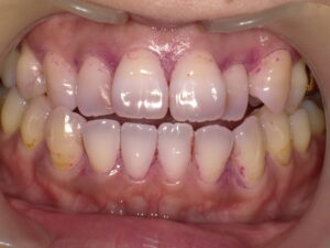
週末、子供の宿題いでカラーテストをしました。
最近院内でも「歯の健康増進プログラム」と言って、
スタッフ間でお口の健康管理をしているのですが、
その中で「100%磨き」の取り組みもあり、
ちょうどV7を頑張っていたので、
自信たっぷりでピンク色の錠剤を噛んだのですが・・・。
!!
!!
!?

思っていたより汚れていてショック!!
子供には「スゲー!ママさすがやなぁ」と褒めてはもらえましたが、
内側の磨き残しにがっかりでした。
100%磨きって本当にできる人いるのかなぁなんて思いながら・・・
またいつテストされていいようにこれから歯磨きがんばります!
医療法人社団東山会 ビバ・スマイル歯科:https://viva-smile.jp/
〒503-0997 岐阜県大垣市長松町1119
電話:0584-92-2040
交通アクセス
お車でお越しの方:「垂井」駅から10分、「大垣」駅から10分。広い駐車場を備えております。

